O QUE SÃO SEQUELAS DE FRATURA DE TÍBIA E FÍBULA?
Definição médica e diferença entre sequela, complicação e incapacidade

De forma simples, podemos dizer que sequela é aquilo que fica depois que a fase aguda da doença ou do trauma passou. No caso da fratura de tíbia e fíbula, a fratura pode ter consolidado (ou seja, o osso fechou), mas a pessoa permanece com algum tipo de dor, deformidade, limitação de movimento, fraqueza ou alteração neurológica.
É importante diferenciar:
- Complicação: é um problema que acontece durante o tratamento, como infecção, trombose, perda de material de osteossíntese, falha da fixação, entre outros.
- Sequela: é a consequência de longo prazo, depois da fase aguda, que pode ser funcional (limitação para andar, correr, ficar em pé muito tempo) ou estética (cicatriz extensa, deformidade visível).
- Incapacidade: é a repercussão prática da sequela na sua capacidade de trabalho. É isso que interessa para o INSS: se aquela sequela, na prática, diminui ou impede o exercício da atividade profissional.
Por que algumas fraturas deixam sequelas?
Nem todas as fraturas de tíbia e fíbula evoluem com sequelas importantes. Em alguns casos, a pessoa recupera muito bem, com poucos sintomas residuais. Em outros, mesmo com tratamento, há limitações consideráveis. Isso depende de vários fatores, como:
- Gravidade da fratura (simples, cominutiva, exposta);
- Se houve ou não fratura intra-articular (perto do joelho ou do tornozelo);
- Tempo entre o trauma e o atendimento adequado;
- Qualidade da redução e da fixação (alinhamento do osso após a cirurgia);
- Presença de infecções, perda de tecido muscular ou de pele;
- Tempo prolongado de imobilização sem fisioterapia adequada;
- Lesão associada de nervos ou vasos sanguíneos.
Quando esses fatores se somam, o risco de sequelas é maior. Em contrapartida, um tratamento bem conduzido e uma reabilitação precoce e organizada podem reduzir bastante o impacto a longo prazo.
QUAIS SÃO AS SEQUELAS MAIS COMUNS?
Dor crônica e sensibilidade local
Uma das queixas mais frequentes após fratura de tíbia e fíbula é a dor crônica. Essa dor pode ser:
- Localizada no foco da fratura;
- Na região do joelho ou do tornozelo (principalmente quando houve fratura próxima às articulações);
- Associada à presença de parafusos, placas ou haste intramedular.
Em alguns casos, a dor está relacionada à artrose pós-traumática, quando a cartilagem da articulação foi danificada e, com o tempo, aparece desgaste articular. Em outros, a dor vem de um desalinhamento do osso, de um encurtamento ou de sobrecarga em determinada área do membro.
Redução de mobilidade, rigidez e claudicação
A imobilização prolongada, as cicatrizes internas e a falta de movimentação adequada na fase de recuperação podem provocar rigidez articular. Isso significa que o joelho ou o tornozelo não dobram ou estendem como antes. Essa rigidez costuma se refletir em:
- Dificuldade para subir e descer escadas;
- Limitação para agachar;
- Dificuldade para caminhar em terrenos irregulares;
- Passos curtos e marcha "dura", muitas vezes com claudicação (mancar).
A claudicação é um sinal de que a perna afetada não está participando plenamente da marcha. A pessoa passa a usar mais a outra perna, o que pode gerar dores compensatórias em quadril, coluna e joelho contralateral.
Perda de força muscular e atrofia
Mesmo quando o osso consolidou bem, é comum o paciente ficar com atrofia muscular (perda de massa e força) na perna que foi fraturada. Ficar semanas ou meses sem apoiar no chão ou com pouca carga reduz a capacidade de contração do músculo. Sem um plano de fortalecimento progressivo, essa fraqueza pode se tornar crônica.
Lesões nervosas (pé caído) e comprometimento sensorial
Em alguns casos, a fratura ou a cirurgia podem afetar nervos da região, especialmente o nervo fibular comum. Quando isso acontece, o paciente pode desenvolver o famoso "pé caído": dificuldade de levantar a ponta do pé ao andar. Isso aumenta o risco de tropeços e quedas, além de alterar bastante a qualidade da marcha.
Também podem surgir alterações de sensibilidade, como formigamento, dormência e sensação de choque em determinadas áreas da perna e do pé.
Deformidade, encurtamento e problemas estéticos
Quando o osso consolida desalinhado, ou há perda de segmento, pode ocorrer:
- Encurtamento da perna;
- Desvio em varo ou valgo (perna "entortada" para dentro ou para fora);
- Cicatrizes extensas e retraídas;
- Diferença visível entre as duas pernas.
Além do impacto estético, essas alterações podem gerar sobrecarga em articulações e dor crônica, influenciando diretamente a capacidade de trabalhar.
DIREITOS PREVIDENCIÁRIOS: AUXÍLIO-DOENÇA, AUXÍLIO-ACIDENTE E APOSENTADORIA

Diferença entre os principais benefícios
- Auxílio-doença (benefício por incapacidade temporária): é devido quando a pessoa está temporariamente incapaz para o seu trabalho habitual, com previsão de melhora.
- Auxílio-acidente: é uma indenização paga quando há uma sequela permanente que reduz a capacidade de trabalho. A pessoa pode continuar trabalhando, mas recebe esse valor como compensação.
- Aposentadoria por invalidez (benefício por incapacidade permanente): indicada em casos graves, quando não há possibilidade de reabilitação para qualquer atividade que garanta sustento.
Quando pedir auxílio-doença
Você deve buscar o auxílio-doença se, por causa das sequelas, ainda não consegue retomar o trabalho, mas existe expectativa de melhora com tratamento e fisioterapia. Alguns exemplos:
- Dor intensa quando fica em pé, incompatível com seu horário de trabalho;
- Necessidade de usar muletas e incapacidade de caminhar longas distâncias;
- Rigidez severa que impede subir escadas ou realizar movimentos básicos exigidos pelo cargo.
Quando pedir auxílio-acidente
O auxílio-acidente é indicado quando a sequela é permanente e reduz a capacidade laboral, mas ainda é possível trabalhar, muitas vezes com mais esforço ou em função adaptada. Exemplos:
- Perda de parte da mobilidade, exigindo esforço dobrado para se manter em pé;
- Diferença de comprimento entre as pernas que provoca dor crônica;
- Lesão nervosa que deixa o pé caído, mesmo com uso de órtese.
Importância de contar com uma advogada previdenciária
Para garantir o sucesso do seu pedido de benefício no INSS, é fundamental contar com uma advogada previdenciária especializada. A advogada previdenciária analisa a melhor estratégia para o seu caso e faz os requerimentos da melhor forma possível.
A advogada previdenciária:
- Analisa seu caso e identifica qual é o benefício mais adequado (auxílio-doença, auxílio-acidente ou aposentadoria por invalidez);
- Orienta sobre a melhor estratégia para apresentar seu pedido ao INSS;
- Prepara os requerimentos de forma técnica e fundamentada, aumentando as chances de aprovação;
- Organiza toda a documentação necessária (laudos médicos, exames, relatórios de fisioterapia, CAT quando aplicável);
- Prepara você para a perícia médica, orientando sobre como apresentar suas limitações de forma clara e objetiva;
- Recorre em caso de negativa, apresentando novos documentos e argumentos técnicos;
- Ingressa com ação judicial quando necessário, garantindo seus direitos.
O processo de solicitação de benefícios previdenciários é complexo e exige conhecimento técnico específico. Ter o acompanhamento de uma advogada previdenciária especializada faz toda a diferença entre ter o benefício concedido ou negado.
QUAL BENEFÍCIO DO INSS PODE SOLICITAR?
Auxílio-acidente: o benefício mais adequado para sequelas de fratura
É possível solicitar o auxílio-acidente quando você ficou com sequelas permanentes após uma fratura de tíbia e fíbula que reduzem sua capacidade de trabalho. O auxílio-acidente é um benefício indenizatório que compensa a redução permanente da capacidade laboral, mesmo que você consiga continuar trabalhando em alguma medida.
Este benefício é especialmente adequado para casos de sequelas de fratura porque:
- É vitalício (não tem revisões periódicas);
- Pode ser acumulado com salário (você pode trabalhar e receber o benefício);
- Corresponde a 50% do salário de benefício;
- É concedido quando há sequela permanente que reduz a capacidade para o trabalho habitual.
Importância de contar com uma advogada previdenciária
Para garantir que seu pedido de auxílio-acidente seja bem-sucedido, é fundamental contar com o acompanhamento de uma advogada previdenciária especializada. A advogada previdenciária:
- Orienta sobre quais documentos são essenciais para fortalecer seu pedido;
- Ajuda a organizar toda a documentação médica (laudos, exames, relatórios de fisioterapia);
- Prepara você para a perícia médica do INSS, orientando sobre como apresentar suas limitações;
- Fundamenta o pedido de forma técnica, demonstrando a relação entre as sequelas e a redução da capacidade laboral;
- Recorre em caso de negativa do INSS, aumentando significativamente as chances de sucesso;
- Pode ingressar com ação judicial quando necessário, garantindo seus direitos.
O processo de solicitação de benefícios previdenciários é complexo e exige conhecimento técnico específico. Ter o apoio de uma advogada previdenciária especializada faz toda a diferença entre ter o benefício concedido ou negado.
Quer saber mais sobre o auxílio-acidente? Clique aqui para acessar nosso guia completo sobre auxílio-acidente e entender todos os detalhes sobre este benefício, requisitos, documentação necessária e como garantir seus direitos.
COMO O DIAGNÓSTICO DAS SEQUELAS É FEITO?
Exame clínico e avaliação funcional
O primeiro passo é a avaliação clínica detalhada pelo médico, que observa:
- Amplitude de movimento das articulações (joelho e tornozelo);
- Força muscular comparada com o lado saudável;
- Presença de dor à palpação e durante a movimentação;
- Maneira de caminhar (marcha), velocidade, equilíbrio;
- Sinais de lesão nervosa (teste de sensibilidade e força específica);
- Diferenças no comprimento dos membros.
Muitos profissionais usam escalas de dor e questionários de funcionalidade para quantificar o impacto dessas sequelas na vida diária. Isso é importante tanto para o tratamento quanto para laudos médicos destinados ao INSS.
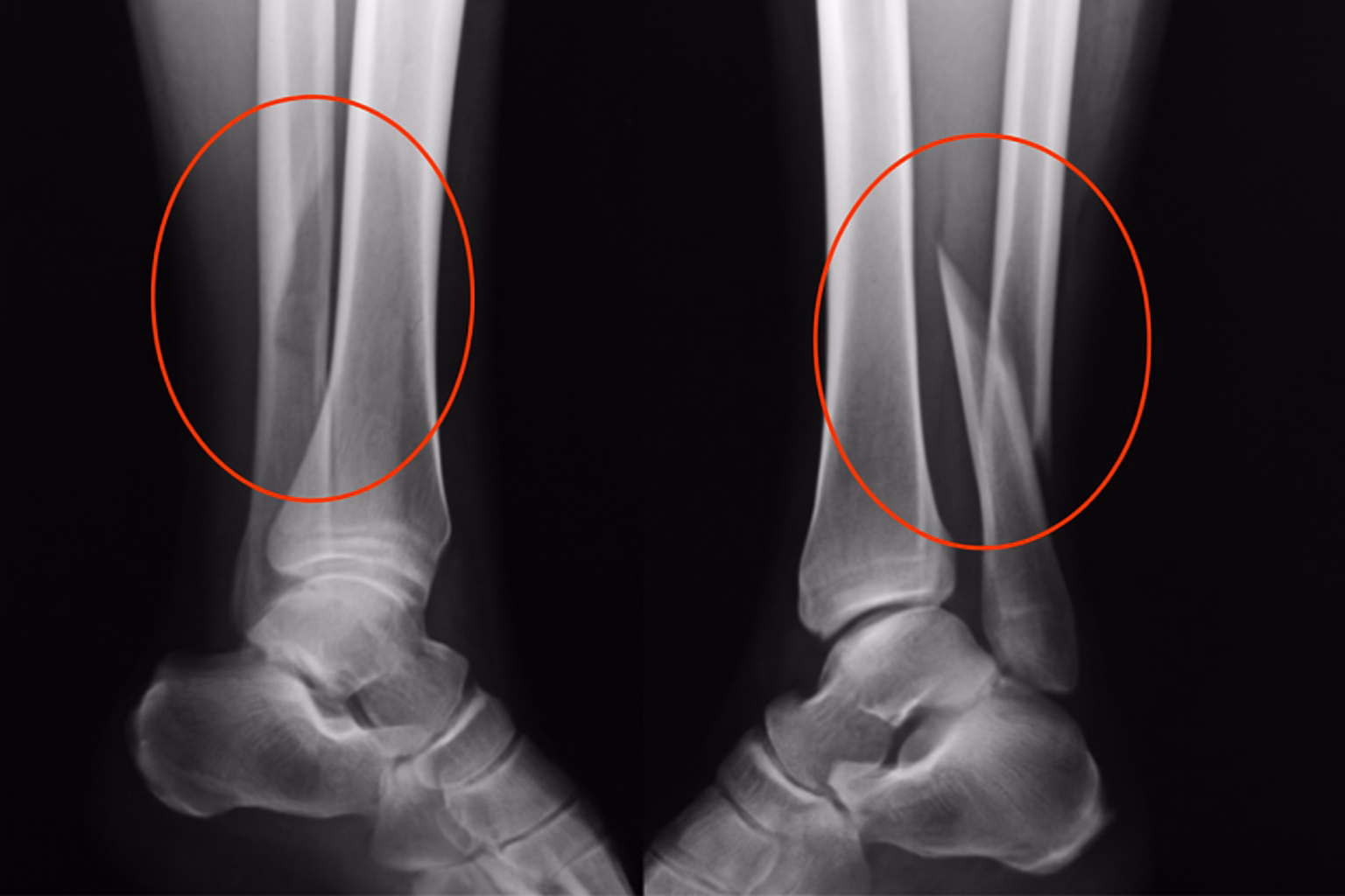
Exames de imagem (raio-x, tomografia, ressonância)
Os exames de imagem ajudam a entender o que está acontecendo com o osso e com as estruturas ao redor:
- Raio-X: mostra alinhamento, consolidação, presença de parafusos, placas ou haste e possíveis deformidades.
- Tomografia Computadorizada: avalia detalhes mais finos, como falhas de consolidação e desvios angulares.
- Ressonância Magnética: útil para investigar cartilagem, ligamentos, tendões e possíveis lesões associadas.
Em casos de suspeita de lesão de nervo, pode ser indicada eletroneuromiografia, que avalia a condução elétrica dos nervos e o funcionamento dos músculos.
Laudo pericial e documentação médica
Para fins previdenciários, o laudo médico é a peça central. Ele deve conter:
- Diagnóstico com CID (código internacional de doenças);
- Descrição da fratura e das cirurgias realizadas;
- Relato das sequelas atuais (dor, limitação, deformidade, lesão nervosa);
- Limitações concretas (tempo que consegue ficar em pé, distância que consegue andar, peso que consegue carregar);
- Prognóstico (se a incapacidade é temporária ou permanente, e se há possibilidade de melhora com reabilitação).
Quanto mais objetivo e detalhado for esse laudo, maior a chance de o perito do INSS entender a real situação e reconhecer o direito ao benefício.
TRATAMENTOS E REABILITAÇÃO: O QUE FUNCIONA NA PRÁTICA
Fases da fisioterapia após fratura de tíbia e fíbula
A fisioterapia é o pilar central da reabilitação após fratura de tíbia e fíbula. De forma geral, podemos dividir o processo em fases:
- Fase de controle de dor e edema: foco em analgesia, diminuição de inchaço e proteção das estruturas, respeitando o tempo de consolidação óssea.
- Fase de ganho de movimento: exercícios passivos e ativos para recuperar a amplitude articular de joelho, tornozelo e quadril.
- Fase de fortalecimento: começa com exercícios isométricos e progride para exercícios com carga, sempre de forma gradual.
- Fase de treino funcional e marcha: o objetivo é retomar a marcha sem compensações, melhorar equilíbrio, coordenação e resistência.
- Fase de retorno ao trabalho: exercícios específicos para as demandas da atividade profissional (ficar em pé, caminhar longas distâncias, carregar peso, subir escadas etc.).
Em muitos protocolos, recursos como hidroterapia, eletroestimulação, órteses temporárias e técnicas de terapia manual são integrados para acelerar a recuperação e diminuir a dor.
Órteses, palmilhas e adaptações
Quando há sequela nervosa (como o pé caído) ou diferenças de comprimento entre as pernas, podem ser usadas:
- Órteses de tornozelo-pé (AFO): ajudam a manter o pé na posição correta durante a marcha, evitando quedas;
- Palmilhas e compensadores: auxiliam na correção de pequenos encurtamentos, melhorando o equilíbrio e reduzindo dor;
- Bengalas ou muletas: podem ser utilizadas temporariamente na fase de readaptação.
Quando cirurgia adicional é indicada?
Em alguns casos, mesmo após consolidação, o ortopedista pode indicar uma nova cirurgia, geralmente com o objetivo de:
- Corrigir desalinhamento importante do osso (osteotomia corretiva);
- Tratar pseudartrose (quando o osso não consolida adequadamente);
- Retirar material de síntese que esteja causando dor significativa;
- Realizar procedimentos de reconstrução articular ou artrodeses (quando já há artrose grave).
Essas decisões são individualizadas e levam em conta o risco cirúrgico, a idade da pessoa, o nível de dor e a expectativa de melhora funcional.
Plano de metas: um diferencial para o paciente e para o INSS
Um ponto pouco comentado, mas muito útil, é ter um plano de metas escrito elaborado pelo fisioterapeuta, com prazos aproximados, como por exemplo:
- Com 1 mês: diminuir dor em X%;
- Com 3 meses: caminhar 500 metros com apoio;
- Com 6 meses: caminhar sem órtese na maior parte do dia, subir escadas com segurança.
Esse plano serve como guia de reabilitação e também como documento objetivo para a perícia do INSS, mostrando a evolução e os limites que ainda persistem.
IMPACTO NO TRABALHO E NA VIDA DIÁRIA
Atividades mais afetadas pelas sequelas
Na prática, as sequelas de fratura de tíbia e fíbula costumam impactar principalmente:
- Trabalhos que exigem longos períodos em pé (como comércio, indústria e serviços gerais);
- Atividades que envolvem subir e descer escadas com frequência;
- Funções que exigem carregar peso, empurrar carrinhos ou movimentar mercadorias;
- Trabalho em ambientes com pisos irregulares;
- Deslocamentos longos a pé ou uso intenso de transporte público.
Além da parte profissional, tarefas simples do dia a dia podem se tornar desafiadoras, como brincar com filhos, caminhar no mercado, realizar tarefas domésticas mais pesadas ou praticar atividades de lazer.
Adaptações e retorno gradual ao trabalho
Em muitos casos, você não precisa escolher entre "trabalhar normalmente" e "nunca mais trabalhar". Existem caminhos intermediários:
- Retorno gradual, começando com jornadas reduzidas ou funções mais leves;
- Adaptação de posto de trabalho (cadeiras mais adequadas, intervalos, evitar cargas pesadas);
- Reabilitação profissional, quando o INSS encaminha o segurado para nova função compatível com as limitações.
Quando a empresa não consegue adaptar o posto ou quando a limitação é relevante, fortalecem-se os argumentos para benefícios como auxílio-doença, auxílio-acidente ou, em casos extremos, aposentadoria por invalidez.
PROVAS E DOCUMENTOS QUE FORTALECEM SEU PEDIDO
Checklist de documentos médicos
- Laudo do ortopedista com CID, descrição da fratura, cirurgia e sequelas;
- Exames de imagem mais recentes (RX, tomografia, ressonância);
- Relatórios de fisioterapia com evolução e limitações;
- Exames complementares, como eletroneuromiografia, se houver lesão nervosa;
- Fotos de cicatrizes ou deformidades visíveis.
Documentos trabalhistas e de acidente
- CAT (Comunicação de Acidente de Trabalho), quando se tratar de acidente de trabalho ou de trajeto;
- Boletim de ocorrência (em casos de acidente de trânsito, assalto, etc.);
- Declaração do empregador descrevendo as atividades do cargo e exigências físicas.
Organize tudo em uma pasta física e em arquivos digitais. No Meu INSS, nomeie os arquivos de forma clara, como "laudo-ortopedista-data.pdf", "rx-tibia-data.pdf" e assim por diante.
QUANDO BUSCAR ASSISTÊNCIA JURÍDICA
Negativa do INSS e recursos
Mesmo com documentação adequada, o INSS pode negar o benefício. Isso pode acontecer por interpretação equivocada do perito ou por falta de algum detalhe importante no laudo. Nesses casos, você pode:
- Entrar com recurso administrativo dentro do prazo indicado na carta de indeferimento;
- Anexar novos documentos, laudos atualizados ou relatórios mais detalhados;
- Buscar orientação de um advogado especializado em direito previdenciário.
Indenização em caso de culpa da empresa
Se a fratura de tíbia e fíbula aconteceu por falta de segurança adequada no trabalho, ou por negligência da empresa, também é possível discutir uma indenização por danos materiais e morais na Justiça do Trabalho ou Justiça Cível. Cada caso deve ser analisado individualmente, levando em conta provas do acidente, da culpa da empresa e do impacto na sua vida profissional e pessoal.
PREVENÇÃO DE SEQUELAS E CUIDADOS IMEDIATOS APÓS A FRATURA
Tratamento inicial bem feito faz diferença
Nem sempre dá para evitar um acidente, mas o que acontece logo depois da fratura influencia muito o risco de sequelas. Alguns pontos importantes:
- Procurar atendimento médico o mais rápido possível;
- Seguir corretamente as orientações sobre imobilização e carga de peso;
- Realizar as consultas de retorno e exames de controle;
- Sinalizar ao médico qualquer piora na dor, sinais de infecção ou mudança de sensibilidade.
Importância da fisioterapia precoce
Quando o médico libera, iniciar a fisioterapia de forma precoce diminui o risco de rigidez, atrofia muscular e perda de mobilidade. Mesmo que no começo pareça pouco, cada movimento orientado ajuda a construir uma recuperação melhor e com menos sequelas a longo prazo.
VIVER COM SEQUELAS: ESTRATÉGIAS DE ENFRENTAMENTO
Rotina adaptada, mas ainda possível
Ter sequelas de fratura de tíbia e fíbula não significa que a vida acabou. Em muitos casos, com adaptação, reabilitação e, quando necessário, uso de órteses, é possível manter uma rotina produtiva e ativa. Algumas estratégias:
- Organizar o dia com pausas para descanso da perna;
- Usar calçados adequados e, se preciso, palmilhas sob medida;
- Manter acompanhamento regular com ortopedista e fisioterapeuta;
- Continuar fazendo exercícios de fortalecimento mesmo após a alta formal;
- Buscar apoio emocional e social, conversando com familiares, amigos ou grupos de apoio.
Rede de apoio e retorno gradativo
Contar com compreensão da família, do empregador e dos colegas de trabalho é muito importante. Ajustes de função, pequenas adaptações e um retorno gradativo ao trabalho podem fazer toda a diferença para que você recupere autonomia, sem colocar em risco a sua saúde.
PRINCIPAIS PONTOS (RESUMO RÁPIDO)
Nem toda fratura deixa sequela
Mas quando deixa, ela pode ser funcional (dor, limitação) ou estética.
Sequelas mais comuns
Dor crônica, rigidez, perda de força, pé caído e deformidades.
Diagnóstico detalhado
Feito com exame clínico, exames de imagem e avaliação funcional detalhada.
Reabilitação essencial
A reabilitação com fisioterapia bem feita é essencial para reduzir sequelas e recuperar qualidade de vida.
Direitos previdenciários
Dependendo do grau de limitação, é possível ter direito a auxílio-doença, auxílio-acidente ou até aposentadoria por invalidez.
Documentação é fundamental
Documentos bem organizados (laudos, exames, relatórios) aumentam muito as chances de sucesso na perícia.
Recursos e assistência jurídica
Se o INSS negar o benefício, é possível recorrer e buscar auxílio jurídico.
CONCLUSÃO
As sequelas de fratura de tíbia e fíbula vão muito além da cicatriz e do raio-x consolidado. Elas mexem com a capacidade de trabalhar, com a rotina da casa, com a autoestima e com a segurança para se locomover. Entender o que está acontecendo com o seu corpo, saber quais são as opções de tratamento e ter clareza sobre seus direitos perante o INSS é fundamental para tomar decisões mais seguras.
O caminho passa por três pontos principais: um acompanhamento médico e fisioterapêutico de qualidade, um conjunto de provas bem organizado (laudos, exames, relatórios e documentos trabalhistas) e uma postura ativa na hora de pedir o benefício, seja auxílio-doença, auxílio-acidente ou outro. Se, mesmo assim, o INSS negar o seu pedido, você não está sozinho: existem recursos administrativos e a possibilidade de buscar a Justiça com o apoio de um profissional especializado.
O mais importante é não ignorar a dor e as limitações, nem tentar "empurrar com a barriga". Informação, organização e apoio adequado aumentam muito as chances de uma reabilitação melhor e de reconhecimento dos seus direitos.
Perguntas Frequentes (FAQ)
1. O que é considerado sequela após fratura de tíbia e fíbula?
Sequelas são alterações que permanecem depois da consolidação do osso, como dor crônica, rigidez, perda de força, pé caído, deformidades ou encurtamento da perna.
2. Toda sequela dá direito a benefício do INSS?
Não. O INSS avalia se a sequela realmente reduz sua capacidade de trabalho. Se houver limitação funcional relevante, pode haver direito a auxílio-doença, auxílio-acidente ou aposentadoria por invalidez, dependendo do caso.
3. Quando devo pedir auxílio-doença?
Quando, por causa das sequelas, você estiver temporariamente incapaz de exercer seu trabalho habitual, com expectativa de melhora com tratamento e reabilitação.
4. Quando cabe o auxílio-acidente?
Quando a sequela é permanente e diminui sua capacidade de trabalho, mesmo que você consiga continuar trabalhando em alguma medida.
5. Pé caído pode dar direito a benefício?
Sim. O pé caído é uma sequela neurológica importante, que costuma limitar bastante a marcha e as atividades diárias, podendo fundamentar auxílio-doença ou auxílio-acidente, conforme o grau de limitação.
6. Quais documentos são mais importantes para a perícia do INSS?
Laudo ortopédico detalhado, exames de imagem recentes, relatórios de fisioterapia, CAT (se for acidente de trabalho), boletim de ocorrência (se houver) e declaração do empregador sobre as tarefas do cargo.
7. O que fazer se o INSS negar meu pedido?
Você pode entrar com recurso administrativo dentro do prazo, anexando novos laudos e documentos, ou buscar orientação de um advogado para avaliar a possibilidade de ação judicial.
8. É necessário continuar em fisioterapia mesmo depois da alta do médico?
Muitas vezes, sim. A continuidade de exercícios orientados ajuda a manter e melhorar os ganhos obtidos, reduzindo dor, rigidez e risco de piora da sequela.
Mensagem ao leitor
Se este conteúdo ajudou você a entender melhor as sequelas de fratura de tíbia e fíbula e seus direitos, compartilhe com alguém que também esteja passando por isso. Informação boa pode mudar o rumo de um tratamento e de um pedido no INSS. E me conta: qual é hoje a sua maior dificuldade – juntar documentos, entender os benefícios ou lidar com a dor e a limitação no dia a dia? Seu comentário e seu feedback ajudam a melhorar cada vez mais os conteúdos.


